矯正治療は、健康なお口の状態でないと、開始

することができません。

そのために、患者様のお口の中に虫歯や歯周病

などがないかの確認を行います。

(口腔内写真、パノラマ、歯式、歯周病検査、

虫歯チェック)

※保険適用内になります。

初診検査した内容を元に患者様のお口の中のご

説明をさせていただきます。

それぞれの患者様によって、お口の中の環境は

異なります。

そのために、患者様が安心して矯正治療に専念

できるように、このタイミングでチェックを行

い、お伝えしています。

 

※処置が必要になった場合には、治療を行いま

す。

精密検査の結果を元に、矯正治療が可能かどう

かの診断いたします。

今後の治療計画、治療期間、金額について、

お伝えさせていただきます。

矯正治療の進捗確認のために、1~3ヶ月に一度

ご来院いただきます。

調整量は3,300円です。

※お子様の矯正の場合、4,400円。

当院では金利が安いアプラスのデンタルローンが利用可能です。

各種クレジットカードもご利用可能です。

下記マークのクレジットをご利用いただけ

ます。

※各社ごとの金利は患者様負担となります。

課税される所得金額

税率

控除額は所得に応じて変わり、実質的な負担額は以下のようになります。

治療費合計が370,000円だった場合

医院名 新小岩いろは歯科・矯正歯科

 

住所  〒120-0024

東京都葛飾区新小岩1-49-3

第28東ビル3F

 

電話  03-6231-5751

 

新小岩駅 徒歩1分

矯正治療をご希望の患者様は、実際に矯正治療

を行うことが可能かどうかを確認するために、

精密検査を行います。

 

精密検査の内容は、セファロレントゲン、CT、

iTeroデジタル口腔内スキャナーです。

¥11,000(税込)

 

01.

マウスピース矯正の中でも老舗のブランド

全世界で1400万人以上が利用

02.

前歯だけの矯正ではなく全顎を矯正する

ことで後戻りしづらい

03.

透明で目立たない

装着しても目立ちにくい

04.

食事のときや、歯磨きのときに取り外せる

06.

通院回数も少ない

05.

iTeroという専用機器を用いることで、

型取りがすぐにできる

07.

歯並びシミュレーションでどんな歯並びになるか事前に分かる

矯正は、どの医院で治療しても同じではありま

せん。

担当医師の技術力によって歯並びの治り方や治

るまでの期間などが変わってきます。

当院では、矯正の認定医が常に在籍しているため、矯正の知識が豊富な医師が担当します。

01.

矯正認定医が在籍

年間症例51症例以上の実績あり当院では、毎月4~5名が矯正治療を開始してい

ます。

また、年間では51症例以上の症例数がありま

す。

02.

インビザラインシステム

当院は一般歯科も行っており、矯正前の準備

(虫歯治療、歯周治療、抜歯など)もワンス

トップで行うことができます。

また、矯正中に万が一、虫歯ができてしまった

場合でもロスがなく迅速に対応可能です。

03.

当院だけですべて完結

当院では、歯科限定で使える金利の安いデンタルローンを導入。

通常ローンよりも金利が安いのが特徴です。

矯正治療が月々6,000円を実現しました。

04.

デンタルローンを用いて

月々6,000円から矯正

05.

女性歯科医師が矯正を

担当可能

院長、矯正認定医ともに女性であるため、女性の歯科医師がご担当。

取り外しが可能で、食事や歯磨きも

ストレスフリー

全世界80ヵ国以上で支持されている矯正治療

透明で目立ちにくいマウスピース矯正

まずは、無料矯正相談の時間を使い、患者様のお話をお伺いさせていただきます。

01.

無料矯正相談

患者様の資料採得を行った結果、もしもむし歯や歯周病の治療が必要になった場合には、矯正治療を始める前にむし歯治療、歯周病治療を先に行います。

04.

むし歯治療

歯周病治療

02.

初診検査

05.

精密検査

06.

診断

矯正器具が届き次第、治療開始になります。

07.

治療開始

治療終了後は、歯科衛生士による定期的な歯周

病予防処置を行います。

患者様のお口の健康を長く実現するために一緒

に頑張っていきましょう。

10.

メンテナンス

きれいな歯並びが整って終わりではなく、後戻

りをする可能性がありますので、保定装置をつ

けて保定期間を設けております。

大体装置を付けている期間位です。

09.

保定期間

08.

定期検診

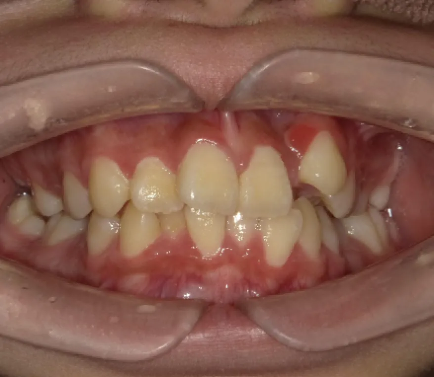
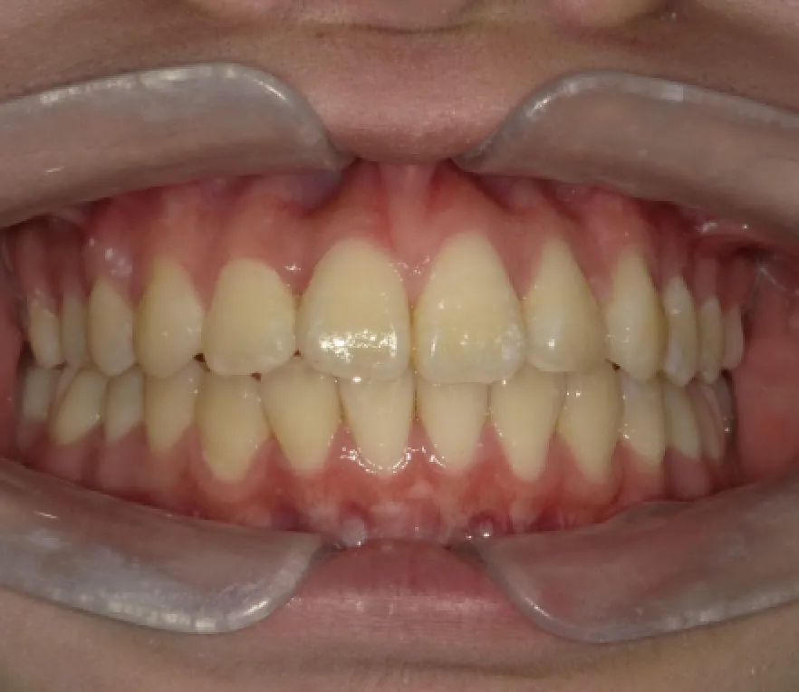
Before

After

性別

年齢

治療費用

治療内容

リスク

副作用

治療期間

男性

小学校高学年

902,000円

1年9か月

インビザライン

矯正治療の一般的なリスクといた

しましては、治療中のお痛み・歯

根吸収・歯肉退縮・治療後の後戻

りなどが生じる可能性があります。矯正治療は始めると、元の状態に

戻すのが難しいことがあります。

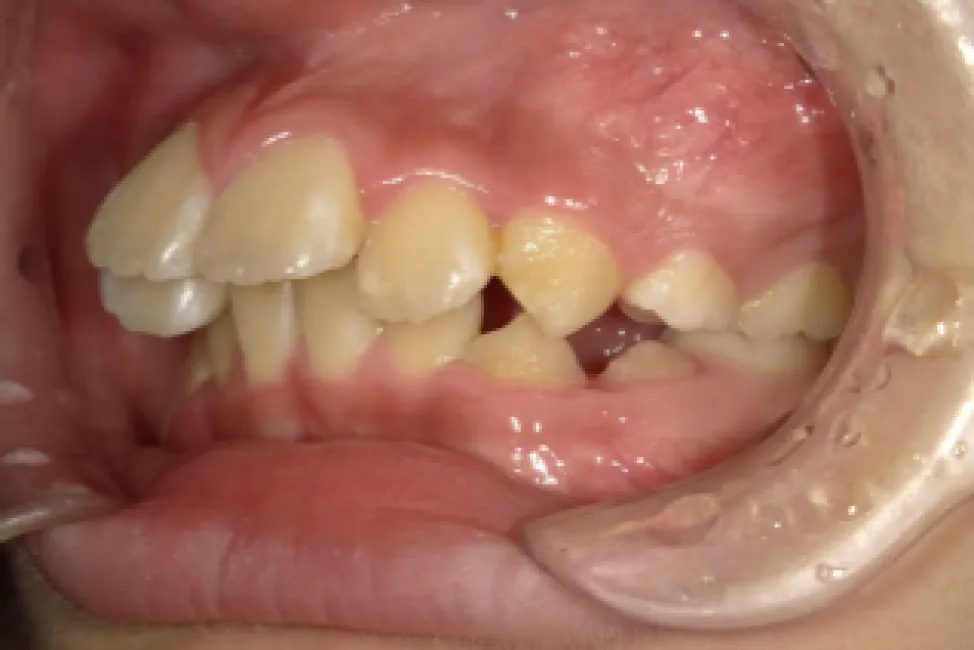
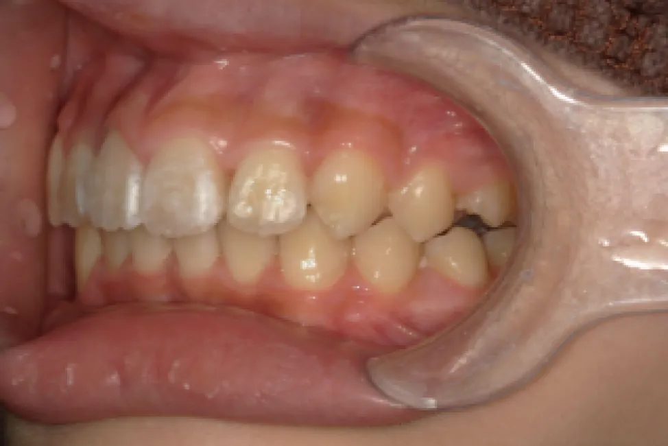
Before

After

性別

年齢

治療費用

治療内容

リスク

副作用

治療期間

女性

10代

902,000円

2年11ヶ月

インビザライン

矯正治療の一般的なリスクといた

しましては、治療中のお痛み・歯

根吸収・歯肉退縮・治療後の後戻

りなどが生じる可能性があります。矯正治療は始めると、元の状態に

戻すのが難しいことがあります。

2

Q

マウスピース矯正ができる年齢に上限はありますか?

A

お口の健康状態にもよりますが、基本的にはマウスピース矯正は何歳でも受けることができます。

Q

スポーツをやっていますが矯正治療できますか?

A

はい、問題なくおこなえます。マウスピースは金属のワイヤーを使用しないため、スポーツ中にお口の中をケガするリスクが低く安心です。また、激しいコンタクトスポーツなどの際は、ご自身で取り外していただくことも可能です。

Q

矯正していることが他の人に分からないようにしたいのですが?

A

マウスピース矯正は薄く透明な素材を使用しているため、装着していても周囲の人からほとんど気づかれません。接客業や人前に出る機会が多い方にもおすすめの治療法です。

Q

費用を分割払いすることができますか?

A

はい、可能です。各種クレジットカードでの分割払いや、医療用のデンタルローンなど、患者様のご負担にならないようなお支払い方法を複数ご用意しております。詳しくは無料相談などの際にお気軽にお尋ねください。

55,000円(税込)

部分矯正

847,000円(税込)

ワイヤー矯正

ライトパッケージ

 657,800円(税込)

フルパッケージ

 902,000円(税込)

インビザライン

クレジットカード

デンタルローン

当院では、アプラスと提携し、より多くの患者様に治療をご提供できるよう歯科に特化したデンタルローンを導入しております。

デンタルローンとは、歯科治療費をアプラスが代わりにお支払いし、患者様が自由に組めるプラン(回数)に沿って返済していただく仕組みです。

※学生の場合、保証人が必要となります。

デンタルローンでのお支払いシミュレーションはこちら▼

https://simulation.aplus.co.jp/simple/

 

年率は5.8%でご計算ください。

医療費控除とは

所得税率の早見表 (平成27年以降)

医療費控除額と還付金の計算式

ご自身または、ご家族の医療費用をお支払いした際には、一定金額の所得控除を受けることが可能です。

これが、医療費控除です。

医療費控除の例

所得金額

税控除額

実際の負担額

343,000円

343,000円

316,000円

307,900円

280,900円

262,000円

248,500円

27,000円

27,000円

254,000円

62,100円

89,100円

108,000円

121,500円

年収200万円の人

年収300万円の人

年収400万円の人

年収800万円の人

年収1000万円の人

年収2000万円の人

年収4500万円の人

195万円以下

195万円〜330万円以下

330万円〜695万円以下

695万円〜900万円以下

900万円〜1,800万円以下

1,800円〜4,000万円以下

4,000万円〜

5%

10%

20%

23%

33%

40%

45%

診療時間
09:00-13:00
14:00-17:00

休診日…日曜・祝日

03.

セカンドカウンセリング

&歯磨き指導

電話する 初診予約受付